728x90
반응형
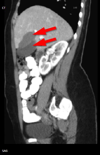
The gallbladder is one of the most frequent organs in our body subjected to anatomical variations. These variations may involve the organ's number, shape, and location. Duplication of the gallbladder is a congenital number variant. It has been described in animals and humans since ancient times. For example, the Talmud, the book of ancient Jewish "teachings," has a reference to the dietary laws stating that the presence of a duplicated gallbladder rendered an animal unsuitable for eating. The first reported case of gallbladder duplication in humans was reported in a sacrificial victim of Emperor Augustus in 31 BC. At the beginning of the 20th-century American anatomist, Boyden examined I0,000 domestic animals and found congenital gallbladder duplications in 1 of 8 cats, 1 of 28 calves, and 1 of 85 lambs and sheep. However, he encountered only 5 cases of this anomaly in more than 19000 human cadavers. The first documented case in a living human was recorded in 1911 after a double cholecystectomy was performed for a duplicated gallbladder. Since then, scattered case reports of this rare congenital anomaly accumulated over the years. It is now understood that gallbladder duplication has an approximate incidence of 1 in 3800-5000 births. However, the precise incidence of this rare malformation cannot be accurately assessed since the only cases that can be identified are those that became symptomatic or were encountered as incidental findings during imaging studies, surgery, or at autopsy. GALLBLADDER SAG122

Duplication occurs at the earliest stage of gallbladder development when it splits during the fifth to sixth weeks of embryogenesis to form a double gallbladder or when extra budding forms an accessory organ. Because gallbladder duplication may present in different ways, several classifications have been proposed in the literature. One classification divides the anomaly into two main groups: 1) bilobed gallbladder with a single cystic duct and 2) two separate gallbladders and two separate cystic ducts (true duplication). True duplication is more common and is sub-classified into H-shaped and Y-shaped types. H-shaped type entails two separate gallbladders and two cystic ducts entering separately into the commonbile duct. In contrast, Y-shaped type duplication is seen when two cystic ducts unite before entering the common bile duct

There are no specific symptoms associated with the duplicated gallbladder. Same conditions and related symptoms affecting a single gallbladder may be encountered with a double gallbladder and involve either one or both organs. For example, gallbladder stones may be found in neither, one, or both vesicles. Duplication of the gallbladder may lead to biliary complications, such ascholelithiasisand acute cholecystitis of both gallbladders. In such cases, patients present with right upper quadrant pain, tenderness, and sometimesjaundice.

n ultrasound, duplicated gallbladder presents as two discrete adjacent gallbladder lobes as opposed to a single oblong vesicle. Sonographic evaluation of the gallbladder is considered the most helpful and highly sensitive diagnostic tool in assessing gallstones, cholecystitis, and other gallbladder conditions. However, in the setting of the duplicated gallbladder, ultrasonography may not completely differentiate it from other conditions such as Phrygian cap or choledochal cyst. Also, differentiation of the specific type of duplication is typically not possible with ultrasound alone since even with current real-time equipment, the cystic duct is challenging to identify. CT and MRI are more effective imaging techniques to confirm the diagnosis and delineate the classification type of suspected gallbladder duplication

A healthy incidentally discovered duplicated gallbladder does not require any intervention. In symptomatic cases, even if only one of the two gallbladders appears diseased, the surgical removal of both organs is recommended to prevent a future second cholecystectomy

반응형
'on the wavelength > abdomen' 카테고리의 다른 글
| Lipoma/painless palpable mass/soft-tissue tumor (0) | 2023.04.16 |
|---|---|
| accessory spleen/Splenule (0) | 2023.04.15 |
| biliary stone /Choledocholithiasis/CBD stone /sono (0) | 2023.04.15 |
| Liver cirrhosis ultrasound /portal hypertension /pseudocirrhosis/ (0) | 2023.04.14 |
| Focal nodular hyperplasia/FNH liver/central scar (0) | 2023.04.14 |
댓글