728x90
반응형
Choledocholithiasis is a condition defined by the presence of stones within the common bile duct (CBD). Depending on the stone origin, choledocholithiasis is classified as primary or secondary. When the stones are formed directly within the biliary tree, the condition is referred to as primary choledocholithiasis. In contrast, the condition is called secondary choledocholithiasis, when the stones are formed in the gallbladder and ejected into the biliary tree following the gallbladder contractions.Primary choledocholithiasis is typically composed of brown stones and is rare in Western populations. Brown stones are commonly found in the extrahepatic and intrahepatic ducts in the presence of biliary stasis and bacterial infection. Bacterial by-products in the bile stasis environment cause precipitation of bilirubin out of solution, leading to a formation of brown stone. Secondary choledocholithiasis is the most common form of the condition. It results from the passage of stones formed in the gallbladder into the cystic duct and then into the common bile duct. These stones are typically composed of cholesterol. 95

CASE SUMMARY
A patient with right upper quadrant pain, nausea, and vomiting presented for an ultrasound evaluation. IMAGING FINDINGSThe right upper quadrant ultrasound revealed a large shadowing structure in the abnormally dilated proximal CBD with associated intrahepatic biliary duct dilatation. Findings suggest a large CBD stone vs. partially calcified mass.
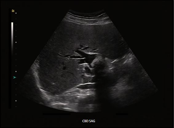
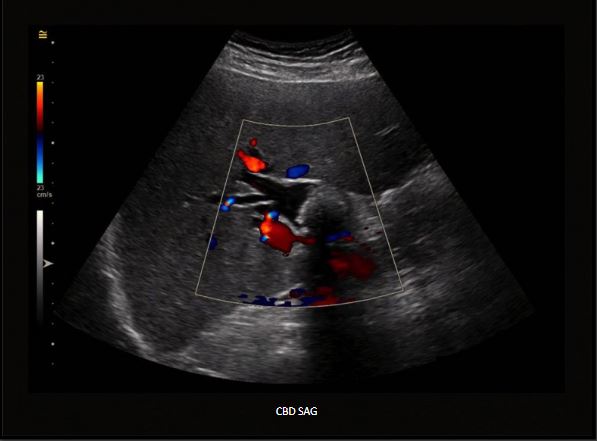
FINAL DIAGNOSIS: Large CBD stone (choledocholithiasis).CBD SAGCholedocholithiasis is a condition defined by the presence of stones within the common bile duct (CBD). Depending on the stone origin, choledocholithiasis is classified as primary or secondary. When the stones are formed directly within the biliary tree, the condition is referred to as primary choledocholithiasis. In contrast, the condition is called secondary choledocholithiasis, when the stones are formed in the gallbladder and ejected into the biliary tree following the gallbladder contractions.Primary choledocholithiasis is typically composed of brown stones and is rare in Western populations. Brown stones are commonly found in the extrahepatic and intrahepatic ducts in the presence of biliary stasis and bacterial infection. Bacterial by-products in the bile stasis environment cause precipitation of bilirubin out of solution, leading to a formation of brown stone. Secondary choledocholithiasis is the most common form of the condition. It results from the passage of stones formed in the gallbladder into the cystic duct and then into the common bile duct. These stones are typically composed of cholesterol. 95

hey develop due to the oversecretion of cholesterol by the liver coupled with impaired contractility of the gallbladder. Usually, digestive bile can dissolve the cholesterol excreted by the liver. However, if the liver produces more cholesterol than bile can dissolve, the excess cholesterol may precipitate as crystals. Crystals get trapped in gallbladder mucus, producing sludge, and with time, the crystals may grow large enough to form stones.The clinical presentation and complications of choledocholithiasis vary widely. In contrast to cholelithiasis, most cases of choledocholithiasis are associated with various symptoms and complications.
As mentioned earlier, in the vast majority of choledocholithiasis cases, the stones form within the gallbladder and then migrate into the CBD due to gallbladder contractions. Once lodged in the CBD, the stones may disrupt the normal bile flow and cause various problems, including severe right upper quadrant pain, nausea, vomiting, biliary obstruction, and jaundice. Biliary obstruction and stagnant bile may lead to the colonization of bile by microorganisms resulting in bile infection and consequent ascending cholangitis. CBD SAGA large shadowing structure in the abnormally dilated proximal CBD with associated intrahepatic biliary duct dilatation represents choledocholithiasis.96

he obstruction of bile and pancreatic juice flow at the merging of the CBD and the main pancreatic duct can trigger acute inflammation of the pancreas. The latter two complications can be life-threatening.The diagnosis of choledocholithiasis is typically suggested by clinical presentation, laboratory tests, and ultrasound findings. Individually, however, each of these variables has poor sensitivity and specificity for diagnosing the condition.
A confirmatory diagnosis of choledocholithiasis is made with advanced imaging, including magnetic resonance cholangiopancreatography (MRCP) and endoscopic retrograde cholangiopancreatography (ERCP). A transabdominal ultrasound is typically the first imaging test that is ordered for the patient suspected of any biliary disease. Like gallbladder stones, biliary stones appear echogenic and round-shaped. They often cast dense posterior acoustic shadowing and can be mobile. Unfortunately, ultrasound is significantly less accurate in detecting stones in the CBD than detecting stones in the gallbladder.CBD SAGAbnormally dilated CBD measuring up to 3 cm with approximately 2.6 cm shadowing structure identified centrally is choledocholithiasis.97
The small distance of the gallbladder from the abdominal wall and the absence of bowel gas make sonography the ideal imaging test to diagnose stones located within the gallbladder lumen. In contrast, stones located in the distal part of the CBD are often obscured by overlying bowel gas. Additionally, CBD stones sometimes do not show posterior acoustic shadowing, further hindering their detection. In such cases, the diagnosis of choledocholithiasis often relies on indirect sonographic signs such as CBD dilation. Dilated CBD requires a follow-up with other imaging methods. However, it is essential to remember that the normal limits of the CBD size vary widely, ranging from 5 to 11 mm. This is partly because CBD diameter typically increases with age and after cholecystectomy. Another indirect sign of the possible presence of choledocholithiasis is the number and size of gallbladder stones seen on ultrasound. Multiple small gallstones are more likely to migrate into the CBD.As previously mentioned, transabdominal ultrasound has poor sensitivity in detecting choledocholithiasis. Therefore, a negative ultrasound exam does not rule out the condition. If a strong suspicion for the disorder still exists based on clinical presentation and laboratory findings, other imaging tests are required for the definitive diagnosis.

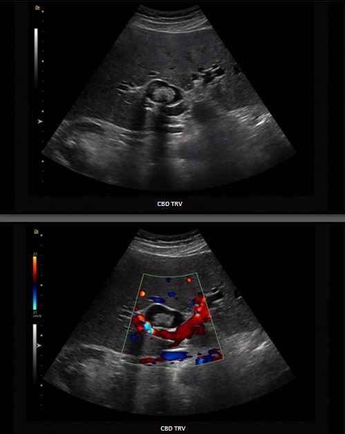
T scan is frequently obtained in evaluating abdominal pain; however, like transabdominal ultrasound it has limited sensitivity in detecting CBD stones. Many biliary stones lack calcium, and on CT appear similar in echogenicity to the surrounding bile, hindering the diagnosis. Definitive diagnosis of choledocholithiasis is made with advanced imaging, consisting of magnetic resonance cholangiopancreatography (MRCP), endoscopic retrograde cholangiopancreatography (ERCP), endoscopic ultrasound (EUS), intraoperative cholangiography (IOC), and intraoperative ultrasound (IUS). The best method for the diagnosis is controversial, as each modality has benefits and shortcomings.The treatment of choledocholithiasis varies locally, according to the practitioner's skills and equipment availability. The cornerstone of therapy is removing the biliary stone and early recognition and treatment of complications (jaundice, acute pancreatitis, and acute cholangitis).107-109The large shadowing structurein the CBD represents a stone.CBD TRVCBD TRV99
반응형
'on the wavelength > abdomen' 카테고리의 다른 글
| accessory spleen/Splenule (0) | 2023.04.15 |
|---|---|
| Duplication of gallbladder/cholecystectomy/ (0) | 2023.04.15 |
| Liver cirrhosis ultrasound /portal hypertension /pseudocirrhosis/ (0) | 2023.04.14 |
| Focal nodular hyperplasia/FNH liver/central scar (0) | 2023.04.14 |
| Hepatitis/acute hepatitis (0) | 2023.04.14 |
댓글