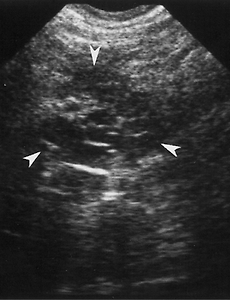
Microcystic Adenomas of the Pancreas Microcystic adenoma in a 51-year-old woman. (a) Transverse US image shows a mass in the head of the pancreas (arrowheads) containing multiple small cysts. (b) US image obtained with the patient in the decubitus position shows a dilated common bile duct (D) and gallbladder (G) due to obstruction by the pancreatic mass (arrowheads). 2009. 9. 7. 이전 1 다음