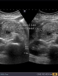
Acute pancreatitis Acute pancreatitis is sudden inflammation of the pancreas that may be mild or life threatening but usually subsides. Gallstones and alcohol abuse are the main causes of acute pancreatitis. Severe abdominal pain is the predominant symptom The pancreas is visualized nicely in the above ultrasound images and appears swollen, edematous and hypoechoic. These findings suggest acute pancreatitis. If le.. 2009. 9. 4. 이전 1 다음