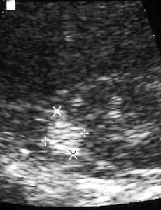
Angiomyolipoma.tuberous sclerosis Clinical History: None given. Findings: Ultrasound of the right kidney demonstrates a 1.5 cm round hyperechoic structure within the renal parenchyma. Computed tomography demonstrates a 1.5 cm heterogeneous, but primarily low density right renal lesion with intermixed regions of fat attenuation. Diagnosis: Angiomyolipoma. Discussion: An angiomyolipoma is a hamartoma consisting of fat, smooth musc.. 2009. 9. 8. 이전 1 다음